Author Archives:

Gary Oldman on finding the frequency of 'Mank'
NEW YORK - The first time Gary Oldman and David Fincher met was in London 1990, when Fincher was looking to cast him in "Alien 3." "And he had the sense to say no," Fincher recalls. In the 30 years si...
Dec 07, 2020

Lawmakers who met with Giuliani scramble after COVID news
WASHINGTON - President Donald Trump said Monday his personal attorney Rudy Giuliani was "doing very well" after being hospitalized with the coronavirus as lawmakers in battleground states that Giulian...
Dec 07, 2020

Trilliant Real Estate Group raises $6,730 in one night for Christmas charity
Pat Garritty, Co-Owner of Trilliant Real Estate Group, announced that $6,730 was raised at their 12th annual "Trilliant's Trees 4 Treasures" held the evening of December 2. "We had to do things a litt...
Dec 07, 2020

Calgary Stampeders re-sign international wide receiver Andres Salgado
CALGARY - The Calgary Stampeders have re-signed receiver Andres Salgado. Salgado, a Mexico City native, appeared in 15 regular-season games for the Stampeders during the 2019 season and recorded one s...
Dec 07, 2020

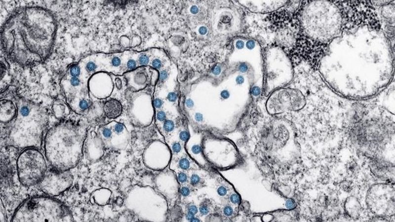
Eight people test positive for COVID-19 at B.C. mink farm, outbreak declared
BURNABY, B.C. - A health authority has declared a COVID-19 outbreak at a mink farm after eight people at the operation in British Columbia's Fraser Valley tested positive for the disease. Fraser Healt...
Dec 07, 2020

Nine recognized at 2020 Stars of Alberta Volunteer Awards
Nine outstanding Albertans have been recognized at the 2020 Stars of Alberta Volunteer Awards.The awards coincide with International Volunteer Day, a global initiative established by the United Nation...
Dec 07, 2020

Speakers' Spotlight threatened after being caught up in WE affair: co-founder
OTTAWA - A small business that booked speaking engagements for Justin Trudeau and his family has been caught in the partisan crossfire of the WE Charity affair. Martin Perelmuter, who co-founded Speak...
Dec 07, 2020

#RockyOnline Festival continues Tuesday
Tomorrow (Dec. 8) the next #RockyOnline Festival kicks off at 9:30 a.m. with a Winter Fashion Show from Legends Apparel & Accessories, live on Facebook.Gateway Sales & Service's live Facebook ...
Dec 07, 2020

Toronto Blue Jays acquire two right-handed pitchers off waiver wire
TORONTO - The Toronto Blue Jays added to their pitching depth on Monday, claiming two right-handers off waivers. Toronto grabbed Anthony Castro from the Detroit Tigers and Walker Lockett from the Seat...
Dec 07, 2020

Flu shot numbers through the roof in Alberta
Albertans are turning out in droves to get their flu shot. The latest influenza data from Alberta Health Services shows over 1.33 million doses of the influenza vaccine have been administered across t...
Dec 07, 2020